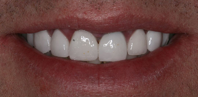
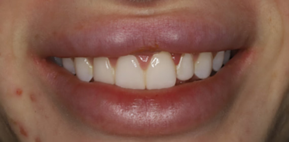
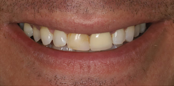
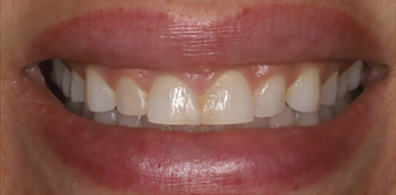
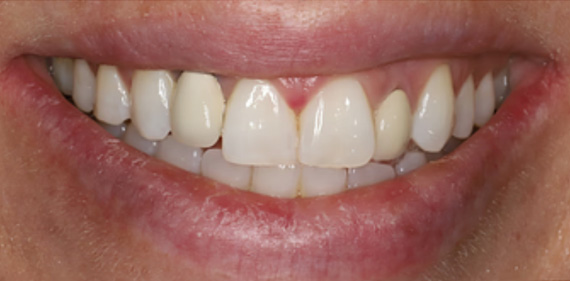
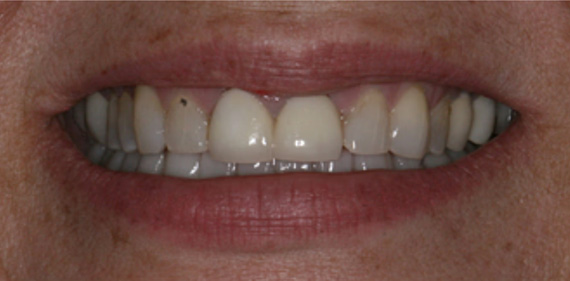
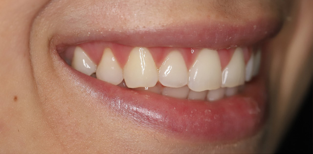
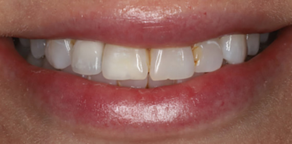
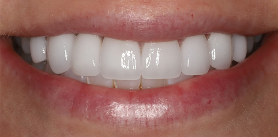
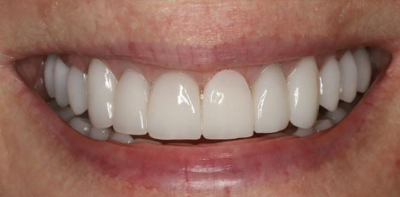
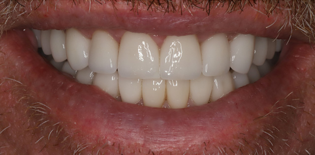
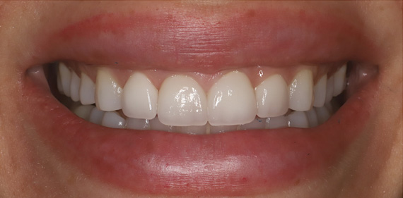
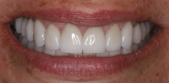
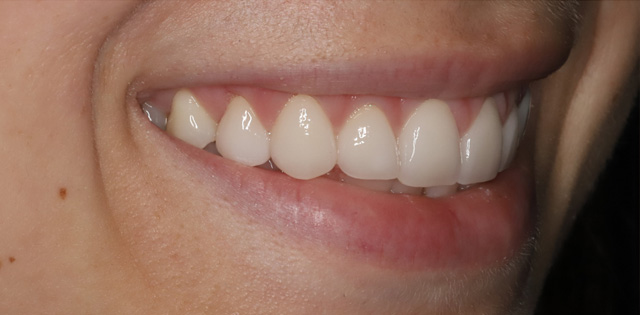
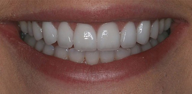
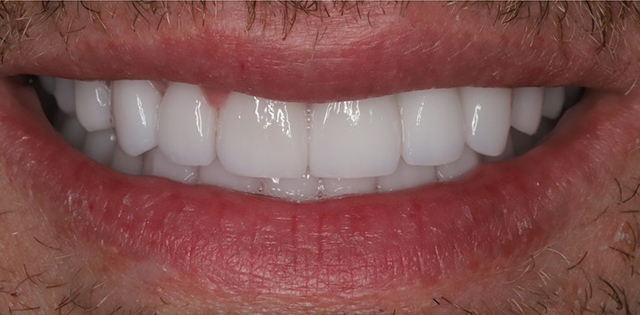
We’re proud to share these stunning results and the confidence that comes with a new smile. Take a look at these transformations and imagine what’s possible for you.
View some of our patient’s before & after photos – Some of the transformations are remarkable!























